Центр гинекологии
Жидкость в малом тазу у женщин за маткой

Причины и лечение жидкости в малом тазу у женщин

Ласкевич Анастасия Владимировна гинеколог
Автор статьи: хирург
Дата публикации: 30.09.2023
Дата обновления: 30.09.2023
Жидкость в малом тазу за маткой – проблема, которую часто выявляют при проведении ультразвукового исследования у женщин. В отдельных случаях в гинекологии это является нормой, но также может указывать на патологию – внутреннее кровотечение или воспалительные процессы. Все зависит от объемов выявленного выпота в матке или позадиматочном (дугласовом) пространстве. Конкретную причину появления экссудата можно выявить только при комплексном обследовании.

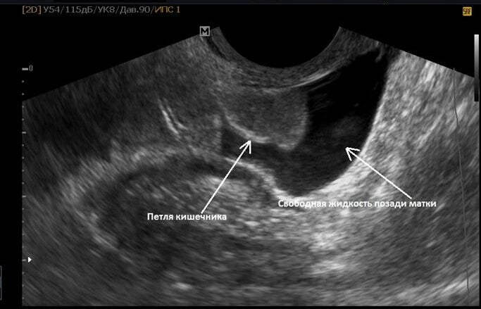
Скопление жидкости за маткой у женщин по УЗИ

Накопление физиологической жидкости в полости малого таза нельзя считать патологией. Небольшой объем экссудата внутри человеческого организма между органами присутствует постоянно. Она необходима для обеспечения висцерального движения. Такой экссудат или транссудат может незначительно прибавляться и самостоятельно рассасываться. Однако возможны и патологические состояния, которые определяются на УЗИ.

Основные эхопризнаки, имеющие значение:
  • увеличенные размеры матки, придатков;
  • деформация наружных контуров органа или полости;
  • измененность формы полости цервикального канала;
  • неоднородность содержимого матки из-за фрагментов отделившихся тканей;
  • узловые изменения, являющиеся первопричиной нарушения;
  • затемнения, которые определяют как жидкое содержимое.
Избыточные объемы жидкостей, обнаруженные в матке на УЗИ не говорят сразу, что это какая-то патология. Такие проявления обычно обозначают, как вторичные. В зависимости от первопричины выпота, его состав может различаться:
  • 1
    Серозный. Такой тип экссудата в брюшине появляется на фоне воспалительных процессов в органах малого таза. В составе присутствуют белки, лейкоциты и погибшие клетки. Обычно рассасывается после устранения первопричины.
  • 2
    Фибринозный. Выпот возникает на фоне инфицирования организма бактериального и вирусного типа. В составе экссудата большие объемы фибрина (особой формы белка) и лейкоциты. Обычно приводит к формированию спаек.
  • 3
    Геморрагический. Водянистое скопление появляется на фоне злокачественных образований, туберкулезного разрушения органов либо внутренних разрывов тканей. Содержит значительные объемы эритроцитов.
  • 4
    Гнойный. Экссудат, присутствующий в брюшной полости является следствием гнойного абсцесса. В его составе присутствуют погибшие клетки, лейкоциты и бактерии. Преимущественно определяются стрептококки, стафилококки и гонококки.
Помимо этих форм выпота, в дугласовом (позадиматочном) пространстве могут встречаться и различные варианты транссудата или скоплений крови. В первом случае это влага в результате отека, которая быстро рассасывается, не оставляя спаек и других изменений. Во втором – признак травматических повреждений сосудов и органов, которые происходят из-за разрыва фалопиевой трубы при внематочной беременности либо на фоне внутриматочных манипуляций.

Жидкость в полости матки также имеет различия:
  • 1
    Серозометра. Понятие значит скопление выпота на фоне воспалительного процесса и нарушенного оттока из полости матки.
  • 2
    Лохиометра. Скопление жидкости с твердыми включениями в малом тазу у женщин, связанное с послеродовыми выделениями.
  • 3
    Пиометра. Экссудат связан с внутриматочным инфекционным воспалительным процессом. Нередко приводит к накоплению гноя.
  • 4
    Гематометра. Накопление крови из поврежденных сосудов. Часто возникает на фоне выскабливания полости матки.
  • 5
    Гидросальпинкс. Экссудат накапливается в маточных трубах и стекает в полость матки, где и определяется по УЗИ.
Определить по эхограмме, какой именно тип жидкости обнаружен в малом тазу у женщины невозможно. Однако доктор, который проводит исследование может выдвинуть некоторые предположения. Они будут основаны на сопутствующих показаниях. Для уточнения данного вопроса потребуется диагностика.

Причина скопления жидкости в малом тазу у женщин

Главной причиной скопления жидкостного содержимого в области малого таза является невозможность ее эвакуации. Условно их можно разделить на 2 большие группы:
  • 1
    Органические. В данной ситуации наблюдается механическое препятствие на пути оттока выпота из полости матки. Это слизистые сгустки и лохии.
  • 2
    Функциональные. В результате гормонального сбоя или воспалительного процесса наблюдается торможение процесса оттока влаги из организма.
Подобное явление может возникать в любом возрасте, как у молодой девушки, так и у пожилой женщины. Необходимо определить характер накапливающейся жидкости в полости матки и малом тазу и выявить заболевание, чтобы назначить лечение.
Записаться на прием в центр женского здоровья

Симптомы патологического скопления жидкости в малом тазу за маткой

Скопление жидкости в малом тазу, которую определяют при проведении эхографии (ультразвукового исследования) может проявляться у женщин по разному. Ввиду того, что данная проблема скорее является следствием, а не самой патологией, клиническая картина будет меняться, в зависимости от причин. Из общих симптомов жидкости в малом тазу можно выделить:
  • 1
    Увеличение размеров матки, которое выражается в форме болезненности и уплотнения в нижней части живота. Ощущение сдавливания могут быть в заднем проходе.
  • 2
    Выраженный болевой синдром, возникающий вследствие сдавливания нервных окончаний или воспалительного процесса. Обычно ноющего или тянущего характера, локализуется в заднем отсеке.
  • 3
    Атипичные выделения из влагалища, обусловленные просачиванием содержимого маточного органа через цервикальный канал. Усиливается при интимной близости и физических нагрузках.
  • 4
    Сбои менструального цикла связанные с гематометрой или осложнением процесса отторжения эндометрия из-за присутствующего выпота. Выражается в виде задержки или полного отсутствия месячных.
  • 5
    Сокращение кровянистых выделений в послеродовой период с характерным повышением температуры и возникновением болей. Картина, связанная с образованием лохиометры.
Свободная жидкость локализованная в малом тазу на УЗИ, может указывать на внематочную беременность. Такую патологию диагностируют на фоне целого симптомокомплекса:
  • положительный тест на беременность;
  • задержка менструального цикла;
  • возникновение субъективных неприятных ощущений;
  • частые мажущие выделения из влагалища;
  • много жидкости в матке, при отсутствии плодного яйца.
Жидкость в малом тазу у беременных женщин
Если симптоматика характерна для беременных,то это часто значит, что может появиться гиперплазия. Иногда, на ее фоне могут развиваться злокачественные новообразования, как гормонозависимые, так и гормонопродуцирующие. Гинекологи отмечают, что без проведения подробной диагностики, определить, что именно значит появление выпотов в малом тазу у женщин практически невозможно.

Заболевания, при которых появляется экссудат в малом тазу

Главной причиной появления свободной жидкости в малом тазу, как внутри матки, так и за ее пределами в дугласовом пространстве, является повышенная активность желез слизистых тканей. Гиперпродукция серозной жидкости сама по себе не несет вреда. Однако ее накопление очень опасно. Жидкость в матке на УЗИ может говорить, что это:
  • миоматозные узлы, расположенные близко к шейке матки;
  • миома у женщин, приводящая к значительной деформации матки;
  • полипы, развивающиеся в полости или цервикальном канале;
  • аденомиоз и эндометриоз, независимо от этиологии;
  • аномалии строения органов, в том числе и яичников.
На фоне перечисленных заболеваний начинаются воспалительные процессы. Происходит нарушение работы лимфатической системы, что приводит к значительному накоплению воды в позадиматочном (дугласовом) пространстве. Также такой эффект могут оказывать и заболевания органов брюшной полости – печени, почек, прямой кишки и других внутренних органов.

После родов, кесарева сечения или аборта

Женские половые органы, в результате наступления беременности претерпевают некоторые изменения. Эндометрий становится фиксированным и имеет прямую связь с плодным яйцом, а затем и с самим ребенком. После аборта, операции кесаревого сечения или родов, в маточной полости остается рана.

В процессе инволюции (уменьшения маточного тела в послеродовом и послеоперационном периоде) присутствуют кровяные выделения, которые выводят избыточный эндометрий, отторгаемый организмом (лохии). Если у женщины наблюдается гипотония или атония в верхнем своде матки, этот процесс нарушается. В результате накапливается смешанный экссудат.

Все это может спровоцировать развитие кист, начало воспалительного процесса и даже образования гнойника, локализация которого бывает разной. К примеру в задней части матки. Поэтому необходимо пройти диагностику для определения причины жидкости в малом тазу у женщины и получить соответствующую медицинскую помощь.

В пожилом возрасте

Наличие свободной жидкости в малом тазу у женщин, которые перешли в фазу климакса напрямую связаны с изменением гормонального баланса. Защитная функция слизистых оболочек напрямую зависит от уровня эстрогенов. В результате попадания инфекций или в связи с другими провоцирующими факторами возникают воспалительные процессы, которые и являются основной причиной свободной жидкости позади матки или внутри нее.

Физиологическое скопление экссудативного выпота в малом тазу

Различные типы экссудата бывают локальными и диффузными. Небольшое количество жидкости в малом тазу и близлежащих тканях, до 10 мл, то это вариант нормы. Обычно такие изменения провоцируют:
  • дни овуляции;
  • наступившая беременность;
  • дни менструации.
Беременность, как причина скопления экссудата в малом тазу
Когда объемы обнаруженной водянки до 50 мл, то это указывает на наличие воспалительного процесса или каких-то факторов, препятствующих нормальному оттоку воды. Если жидкости в области органов малого таза большое количество, то необходима экстренная помощь, которую окажут после полноценного обследования.

К какому врачу обращаться

Обычно УЗИ малого таза проводят по назначению специалистов. Именно к врачу, направившему на сонографию следует идти в первую очередь. Но если у женщины пока только симптомы свободной жидкости за маткой, в дугласовом пространстве или внутри нее, то обращаться нужно к гинекологу. Этот врач, после сбора анамнеза и осмотра в кресле сможет выписать все нужные направления, для выполнения диагностики. Также будет выполнена пункция, для забора материалов.

Диагностика скопления жидкости в малом тазу

направитьВопрос диагностики патологических состояний имеет свои тонкости. Сразу сказать при обнаружении на УЗИ жидкости в матке, что это и почему появилось не получится. Прежде чем назначить исследования, врач должен собрать анамнез и выявить основную симптоматику. В зависимости от общих показаний, могут направить пройти такие исследования в гинекологии:
  • 1
    Общие клинические анализы мочи и крови. Они призваны определить возможные воспалительные процессы инфекции в организме.
  • 2
    Гормональные исследования. Такой анализ покажет наличие сбоев эндокринной системы, что также может быть причиной.
  • 3
    Компьютерная томография или рентген с использованием контрастных веществ. Они могут показать возможные злокачественные изменения.
  • 4
    Пункция для забора материалов. Путем прокола, врач возьмет некоторое количество содержимого, для проведения анализа.
Основной способ диагностики - пункция. В процессе анализа врачи смогут определить состав экссудата и сказать, какая проблема есть у женщины. Лечатся в соответствии с итоговым диагнозом. Если взятого пункцией материала окажется мало, то врачи воспользуются другими методиками диагностирования.

Лечение скопления жидкости в малом тазу

Отправной точкой в начале лечения женщин с жидкостью в области малого таза выступает пункция. Ее выполняют лапароскопическим путем (малоинвазивной операции), поэтому врач может сразу убрать лишние объемы воды из органа или позадиматочного пространства. Для этого:
  • 1
    Получив доступ к водянке в малом тазу врач берет материал на анализ.
  • 2
    Устанавливают катетер, через который будет осуществляться отток.
  • 3
    При больших объемах, используют вакуумную аспирацию.
Дело в том, что оставлять выпот в полости матки или брюшины довольно опасно. Ввиду того, что скопившаяся влага является патологической, она может претерпевать изменения, к примеру – загнить. Соответственно это первичная мера. Дальнейшее лечение и необходимые лекарственные препараты определяют после анализа.

Профилактика появления экссудата за маткой

Как таковых – профилактических мер, позволяющих избежать накопления жидкости в полости матки и дугласовом пространстве не существует. Единственное, что могут порекомендовать врачи, это:
  • соблюдать нормы правильного питания;
  • проявлять умеренную физическую активность;
  • своевременно посещать врача;
  • лечить заболевания половых органов.
Для беременных очень важно стать на учет в женской консультации. Соблюдение данного правила позволит вовремя определить проблему. Особенно в тех случаях, когда беременность внематочная. Любое опоздание значимо – если упустить время, то могут быть повреждены и другие органы, к примеру – яичники.

Болезни органов малого таза у женщин нередко характеризуются накоплением жидкости в матке и позадиматочном пространстве. Они могут быть связаны с половыми органами или другим патологиями. Важно, не игнорировать обнаруженную на УЗИ проблему и сразу обратиться за помощью. Определить, что означает жидкость, проявившаяся в матке на УЗИ, помогут соответствующие анализы. Если прямой связи с гинекологией заболевание не имеет, то женщина получит соответствующее направление.